Comprehensive Guide to

Foot and Ankle Fractures

The human foot and ankle are composed of 26 bones and over 30 joints. Because of the complexity and the weight these structures bear, fractures vary significantly in severity. Use this guide to navigate specific injury types, classifications, and recovery expectations.

What are terms we often use in describing fractures?

Closed Fracture (Simple Fracture)
The bone is broken, but the skin is intact. There is no open wound.

Open Fracture (Compound Fracture)
The broken bone has pierced through the skin or there is a wound that reaches the bone. This is a surgical emergency due to the risk of infection.

Displaced Fracture
The bone fragments have moved out of their normal alignment. These often require surgery to realign.

Non-Displaced Fracture
The bone is cracked or broken, but the pieces remain in proper alignment. These may heal with casting or immobilization.

Comminuted Fracture
The bone is broken into three or more pieces. These are typically high-energy injuries and may require surgical fixation.

Avulsion Fracture
A small piece of bone is pulled off by a tendon or ligament. Common in ankle sprains and sports injuries.

Stress Fracture
A small crack in the bone caused by repetitive force or overuse, common in athletes and military recruits.

Greenstick Fracture
An incomplete fracture where the bone bends and cracks, but doesn't break all the way through. More common in children because the bones are still growing and soft.


Ankle Fractures

  • Lateral Malleolus: Fractures of the outer fibula.

  • Medial Malleolus: Fractures of the inner tibia.

  • Bimalleolar & Trimalleolar: Complex multi-bone injuries.

  • Pilon Fractures: High-energy impact to the distal tibia.


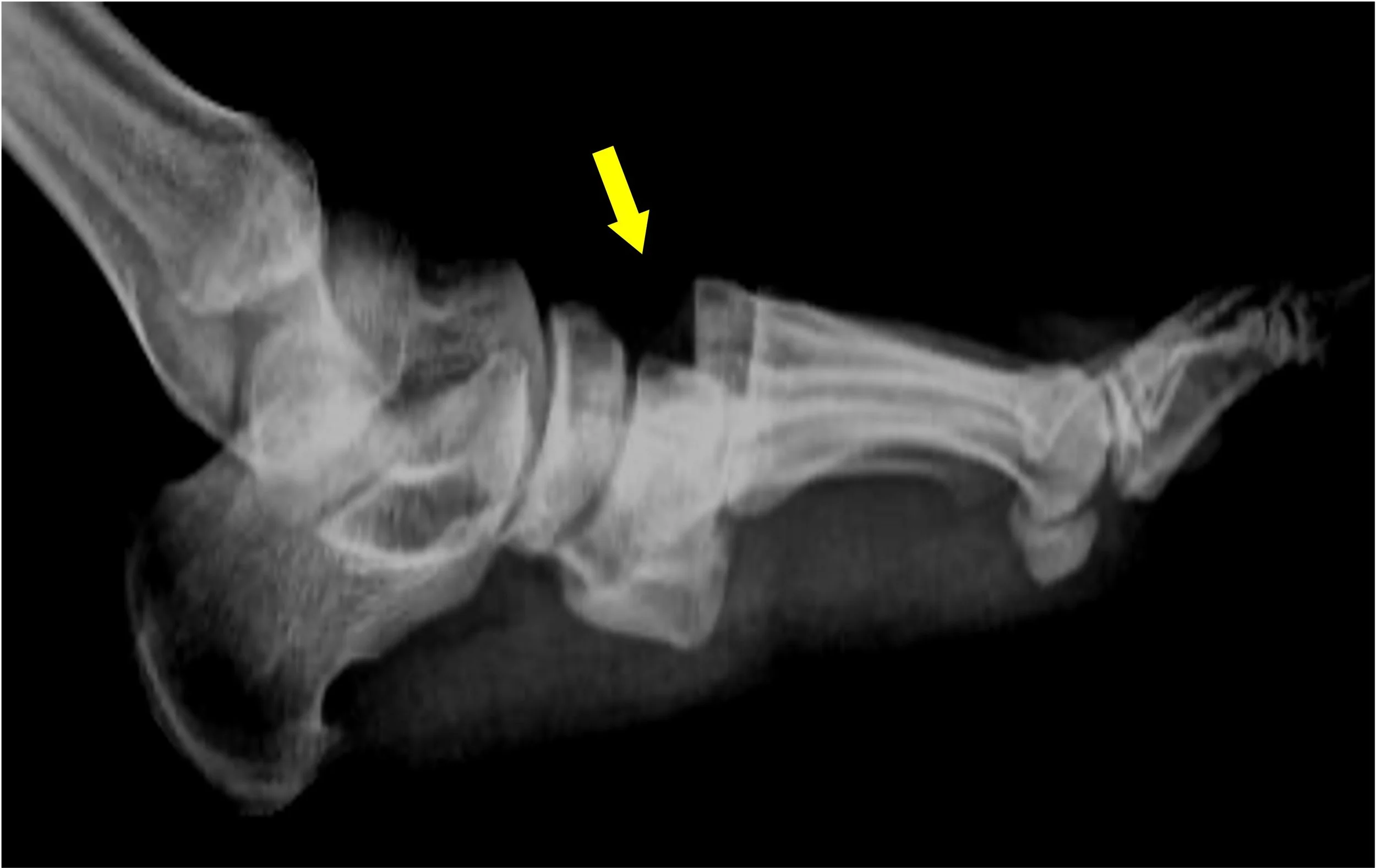
Hindfoot Fractures

  • Calcaneal (Heel) Fractures: Often caused by falls from height.

  • Talar Fractures: Serious injuries affecting the "plug" of the ankle joint.


Midfoot Fractures

  • Lisfranc Injuries: Critical injuries to the midfoot ligaments and bones.

  • Navicular & Cuboid: Often related to stress or direct impact.


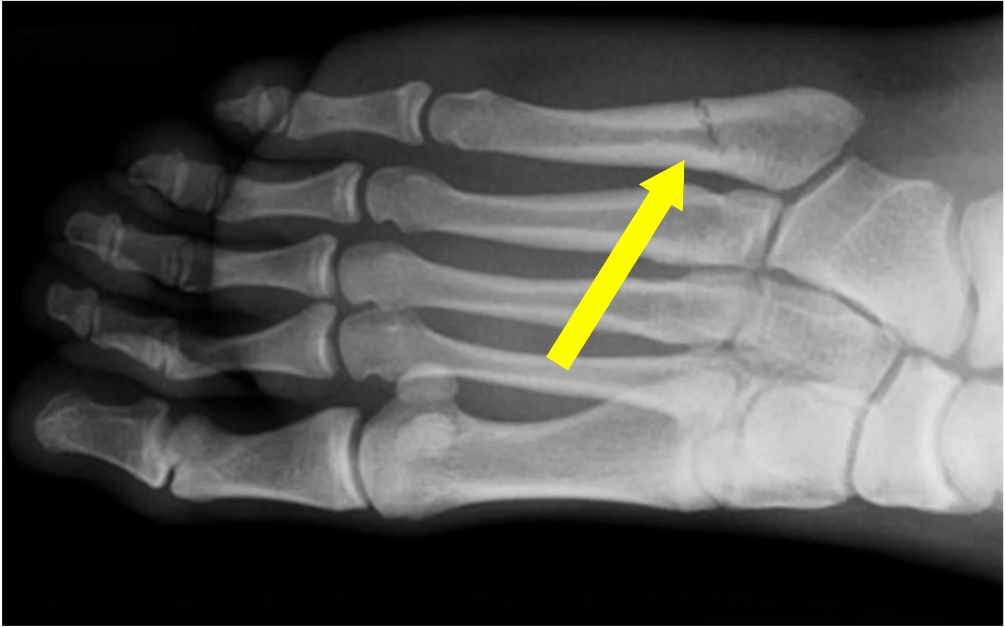
Forefoot Fractures

  • Jones Fractures: A specific, high-risk break at the base of the 5th metatarsal.

  • Metatarsal Stress Fractures: Common in runners and athletes.

  • Toe (Phalangeal) Fractures: Breaks in the smaller bones of the toes.



If you need help please contact us with the form below.


Our Florida and New York Office Locations

NAPLES OFFICE (Gulf Coast)

Serving Southwest Florida, including Fort Myers, Cape Coral, Bonita Springs, and Sarasota.

  • Address: 3940 Radio Road, Unit 104, Naples, FL 34104

  • Phone: 239-465-0311

 

WESTON OFFICE (Atlantic)

Serving the Tri-County area, including Miami, Boca Raton, West Palm Beach, and Hollywood.

  • Address: Weston near Cleveland Clinic coming soon

  • Phone: 239-465-0311

 

NEW YORK CITY OFFICE


Serving New York City and the boroughs as well as the entire Tri-state area

  • Address: 330 W. 58 street, Unit 610, NYC, NY 10019

  • Phone: 212-372-0991