EXPLANATION OF GENERAL TERMS

IN FOOT & ANKLE SURGERY

The information provided on this page are simply short explanations of commonly used and discussed procedures and implants. If you need more information ask your doctor. If your doctor does not give you the information you need then find another doctor! IF YOU CAME TO SEE US IN THE OFFICE - Dr. Gitlin may have listed procedures that you need to have done. Look for them here to learn more.


THIS PAGE SEEMS LIKE ITS ALWAYS A WORK IN PROGRESS. Email us if you have a specific question.


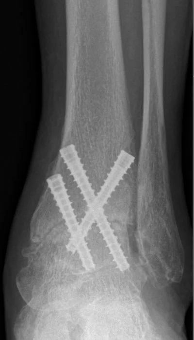
ARTHRODESIS ( JOINT FUSION )

Some conditions necessitate the removal of a joint. when we remove a joint one option is to attach the remaining bones to each other and to let them heal into one larger bone. This does stop any motion that the joint had before the surgery but when it comes to the foot or ankle that loss of motion may not be too noticeable to the patient. We perform fusions for situations where there is significant arthritis and cartilage damage in a joint that cannot be salvaged. Click here: ARTHRITIS SURGERY to learn more about other techniques we can use to avoid fusion. The good thing about arthrodesis or joint fusion is the fact that it works well in most cases without significant complications in most cases. (of course this depends on the skill and experience of the surgeon and the overall medical condition of the patient). The other good thing is that its outcomes are predictable- the fused joint should remain in the position that it was placed into. Another reason we use this fusion technique is to correct deformities like in the case of FLATFOOT or CLUBFOOT.

During the surgery , once the joint is prepared for fusion. Hardware must be placed - these surgical implants will hold the bones together while they heal into each other. The types of implants placed depend on the surgeons preference and on the procedure location. Screws , pins, plates or external scaffolds can be used for this.

A common question we get is : Does the screw need to be removed? answer is No unless it bothers the patient. The implants are usually buried deep into the bone and can stay inside.

What are these implants made out of? Modern surgical screws are usually made from titanium, occasionally some made from surgical stainless steel are used. Modern plates are made from either titanium or stainless steel. Also there are a few screws and pins that are available for the surgeon to use that are made out of an absorbing material- and yes over time they are absorbed by the body and disappear. ( not commonly used nowdays)

Click here to learn more about Arthrodesis and Joint fusion surgery.


ARTHROPLASTY

In some cases a joint or a portion of a joint is damaged and needs to be removed - that is called an arthroplasty. This term is usually also called implant arthroplasty- where the joint is removed and an implant placed to replace the joint - joint replacement. In the lower extremity the most common joints replaced are the ankle joint, the big toe joint and to a lesser degree the small toe joints ( in the ball of the foot ).

There are many other joints in the foot but those I mention above are the only ones that show a greater need for replacement- and those are the ones that have replacements made for them. These implants can be made from many types of materials , some from soft silicone, others from metals like titanium or stainless steel and still others from plastics. There are many , many! different designs available and of course the one used is really surgeon preference.

To learn more about implant arthroplasty click here


ACHILLES TENDON LENGTHENING

There is a condition called equinus - this is when the ankle joint is flexed downward. This can be noticed most when someone walks on their toes and has a hard time getting their heel down on the floor. The word ‘dorsiflexion’ is a term used to describe the motion of the ankle upward - like “bringing your toes to your nose” if that makes any sense. ‘Plantarflexion’ is the opposite of this and is used to explain pointing the foot downward.

There are many surgical procedures that are done to make the achilles tendon longer. Why the achilles tendon - its a very powerful tendon that can easily overpower the other tendons and pull the foot downward. For specific procedures click here: EQUINUS.


ARTHROERESIS

Sometimes too much motion in a joint is not good! the extra motion might allow the foot to change shape and lose its structure. A very common example of this is in flatfoot (technically called Pes Planus) where certain joints move more than they should and allow the arch to collapse. There is a procedure where a simple implant is placed into the subtalar joint that will restrict motion and prevent the collapse.This relatively simple procedure was originally made for young growing children where the implant will hold the foot in a new position while “they grow into a new normal arch foot position”. There has been a number of medical journal research projects that discuss placing these implants into adults with already well formed skeletons. I personally don’t make a habit of placing the implants into adults but thats based on my training.

Also the kind of flatfoot also matters. It has to be a flexible deformity meaning that the doctor can hold the foot and manipulate it easily into a normal arch position. There are other kinds of flatfeet that are called rigid deformities but that’s for a different discussion.

flatfoot subtalar implant

Here you can see a picture of the foot with implant pressed into the subtalar joint. Why do i keep saying subtalar joint ? Because that’s the joint that mostly allows to foot to flatten. Can these implants be used in other joints? - NO.

The implants come in many sizes to fit different people anywhere from 8 mm in diameter to 13 mm. The implant set comes with sizers that help the surgeon pick the correct size while manipulating the foot into proper position.


Many manufacturers make there arthroeresis implants and they are pretty much the same, even though they all consider theirs better than their competitions product. Here are some links to some manufacturers in you are interested:

https://www.stryker.com/us/en/foot-and-ankle/procedures/subtalar-arthroeresis.html

https://www.arthrex.com/foot-ankle/prostop-arthroeresis

https://www.acumed.net/products/foot-ankle/talar-fit-subtalar-arthroereisis-implant/

Thats just a few, there are so many and which one used is based on surgeon preference and training. The result for the patient should be the same with all of these.

Also this arthroeresis procedure is many times performed with other surgical procedures like an achilles tendon lengthening. Thats a very common combination for flatfoot correction surgery.


TENDON TRANSFER

Tendon transfer surgery is where a muscle is re-routed to either assist in a similar muscles function or to perform a completely different function altogether. There are many procedures - from toe tendon transfers to help fix a hammertoe to larger procedures like the transfer of the posterior tibial tendon to fix footdrop. Some of these procedures have been performed for over a hundred years! There are also tendon transfer procedures that are used to tether a section of bone and prevent excessive motion but this is much more rare of a procedure. After the tendon is moved it will then be either stitched to another structure like another tendon or ligament of will be attached to bone with what is called a soft tissue anchor. Far a surgeon these procedures are difficult to learn since so few surgeons know how to perform them with confidence. We love these procedures because they have the potential to significantly change a persons foot position and gait pattern.



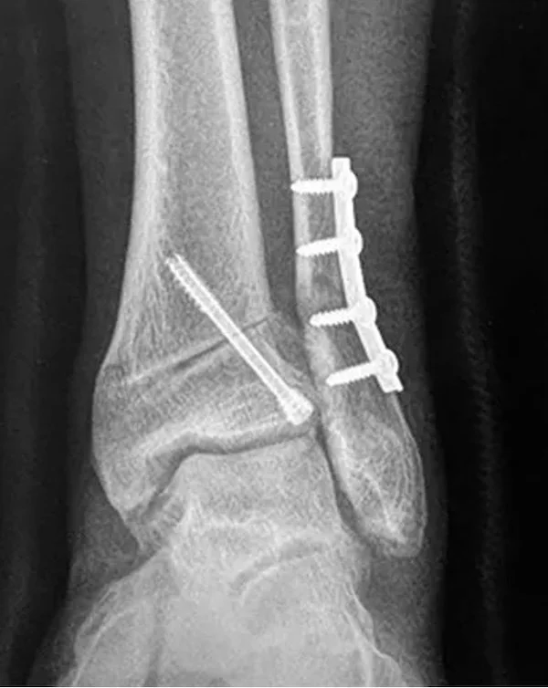
OSTEOTOMY

When a surgeon cuts a bone and in most cases realigns or moves it around, that is usually called an osteotomy (osteo =bone , tome = cut). If that cut bone is removed it is no longer called an osteotomy in most cases. Bones can be cut with a chisel, a saw, or even a drill bit. There are even machines that use sound , ultrasonic waves, to cut through bone. If you are interested about the ultrasonic scalpel CLICK HERE.

Some osteotomies (that’s the plural spelling) even have names because they were described to serve a very specific purpose in surgery and they are often named after the original surgeon. For example when we perform flatfoot surgery we can perform the Koutsagiannis Calcaneal osteotomy or an Evans osteotomy but ill explain those particular procedures HERE.

After the bone is cut it is usually reconnected in its new position with some sort of hardware like screws, plates, pins or external fixation devices.

Click here to learn more about osteotomy (bone cutting and realignment) in foot and ankle surgery


EXOSTECTOMY

when bone is cut and the cut portion is removed we call that an exostectomy. An example of this may be a bone spur, here a saw is used to cut away the spur- also called an exostosis and then that fragment is removed. Pretty straight forward. Why do we remove segments like that? If bone is overgrown and prominent under the skin it can irritate the overlying areas. If bone is overgrown and pushing on a nerve or other tendon or even a joint then we can operate and remove the bone segment. If a large segment is removed especially from the middle of a bone we may refer to that as a resection.





ROTATIONAL FLAP








WOUND DEBRIDEMENT









CAPSULOTOMY










TENOTOMY











ARTHROSCOPY

This is pretty straight forward, its the use of a camera ( arthoroscope) to look inside a joint. arthro- means joint , -scope means scope. We use these often to help us do minimal incison work inside a joint or to just check on position of bone and joint fragments after we fix a broken bone. In some cases we simply use it to assess the condition of cartilage or to clean up some inflamed tissue.

We can use this technique on many large and intermediate size joints and th





Illustration of ankle arthroscopy procedure, showing surgical tools inside a human ankle joint.

DISTRACTION OSTEOGENESIS


Distraction osteogenesis is a surgical process used to grow new bone and the surrounding soft tissues. It's employed in orthopedic, podiatric, and maxillofacial surgery to correct skeletal deformities and reconstruct defects. The procedure involves surgically cutting a bone, then gradually separating the two bone segments using a device called a distractor. This slow, controlled separation stimulates the body to generate new bone tissue in the gap, effectively lengthening the bone. This technique offers advantages over traditional bone grafting, as it utilizes the body's natural healing capabilities and can result in less invasive procedures. While it requires a period of adjustment and careful monitoring, distraction osteogenesis has proven valuable in treating conditions like limb length discrepancies, facial deformities, and other complex skeletal issues.









EXTERNAL FIXATION

When we do work on a limb - leg in our case sometimes we need to hold things like bones or positions of joints in a certain position until your body can heal things up. In some cases we use screws or pins or plates to acheive this. In certain situations we cannot put anything inside the body so we have to build a scaffold on the outside ofther body. This is why its called EXTERNAL fixation as opposed to internal fixation. There are other situations where we have to move joints around slowly- an example of this is if someone has their foot in a certain exxaggerated position for a long time and it needs to be relocated into a more proper position we use external fixation to do what we call a gradual correction. Why would we do this gradual correction? If someone has a foot where the toes are ppointing straight down for the last 10 years the nerves and arteries and veins are ‘locked into their positions, if you go to surgery and ‘correct ‘ it too fast the blood flow can get shut down with terrible results. Gradual correction with an external fixator alllows us to do it slowly over days or months as we see fit to be safe. The external fixator device comes in a bunch of peices like an erector set or a lego set where the surgeon can build any kind of device that is needed customized to the patient. External fixators have been around for hundreds of years although our modern ones are very sophisticated, made out of carbon fiber and titanium and of course stainless steel.