BIG TOE JOINT IMPLANT FAILURE

This page illustrates a case of amputation prevention where most available treatments were not usable.
This young patient had an implat placed into their great toe joint ( metatarso-phalangeal joint). A postoperative complication occured and an infection of the implant and surrounding bone set in. After multiple courses of antibiotics the patient was referred to us. The patient was from out of the country and we needed a one stage procedure to fix the situation.

We elected to perform something everyone says cant be done and we were lucky in this case that the patient did quite well.

FOOT IMPLANT FAILURE FLORIDA NEW YORK

Big Toe Joint Implant Failure (Infection + Bone Loss) – Amputation Prevention
Medically Reviewed by Dr. David Gitlin, DPM | Board Certified Foot & Ankle Surgeon | Revision Surgery & Limb Salvage
Last updated: January 25, 2026

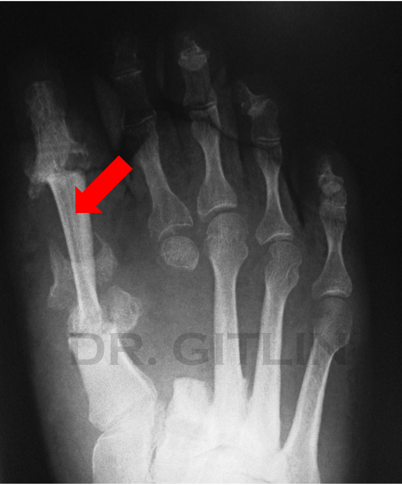
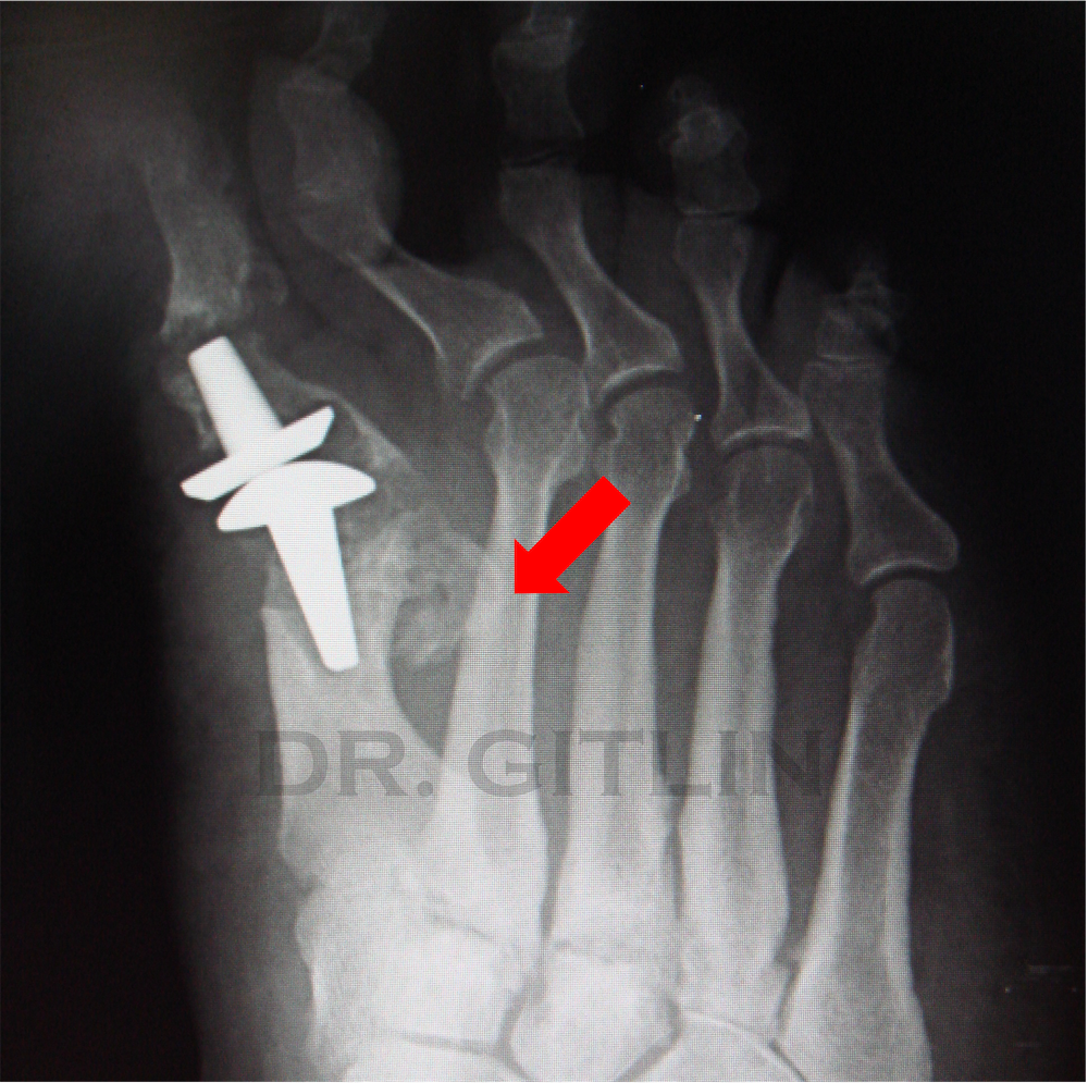
In the xray above you can see a total implant of the big toe joint that has loosened and broken through multiple other bones. The two main bones of the joint are completely destroyed and infected. In the next phot you can see the implant we have removed. These types of two part (component) implants are not popular anymore because of exactly this situation. When they need to be removed a large section of bone is removed with them. Todays implants are much smaller but of course not without their own issues.

Close-up of an ear implant with tissue and bone parts on a blue background, possibly during a surgical procedure.

Here is our procedure :

We removed the implant and all the bad bone around it. and then we cut out the bone right next to it. Also called a metatarsal that attaches to the second toe. And we moved that bone into the space of the first metatarsal bone. We decided the first metatarsal was more important for stability of the foot so we sacrificed the second metatarsal. The RED arrow in the pictures points to the second metatarsal so you can follow where it came from and where it ended up. We used an external fixator that is also pictured here to hold the bones together and allow the patient to walk immedialty after surgery.

Close-up of a surgical procedure showing exposed bone and soft tissue, with a hand holding a piece of tissue or graft. The background is a blue surgical drape.
Close-up of a human mouth showing the mandibular arch with a surgical site and dissected tissue, with a red arrow pointing to a specific feature.
A foot undergoing surgical repair, with a metal external fixator device attached, surgical stitches, and visible incisions, in a medical setting.

1 year after original surgery patient still has foot and walking in regular sneakers with no restrictions although gymnastics probabaly out of the question in this case.

Mission Accomplished.

X-ray of a human foot showing a fracture in the metatarsal bone, indicated by a red arrow.

You can use the form below to email us directly, it is not HIPPA compliant meaning this information is not guaranteed secure and private. Don’t use your full last name just initial.

We will get back to you with almost lightning fast speed.